O casal Michael e Maggie Jetty, criadores da página de artesanatos católicos “Saintly Heart“, e autores do livro “Encyclopedia of Peg Saints“, anunciaram em sua página de negócios que esperam outra filha.
Os dois lutam para amar e criar seus 4 filhos sob os preceitos da fé católica, mas nunca imaginariam que seu bebê estaria tão adiantado em suas aulas de catecismo.
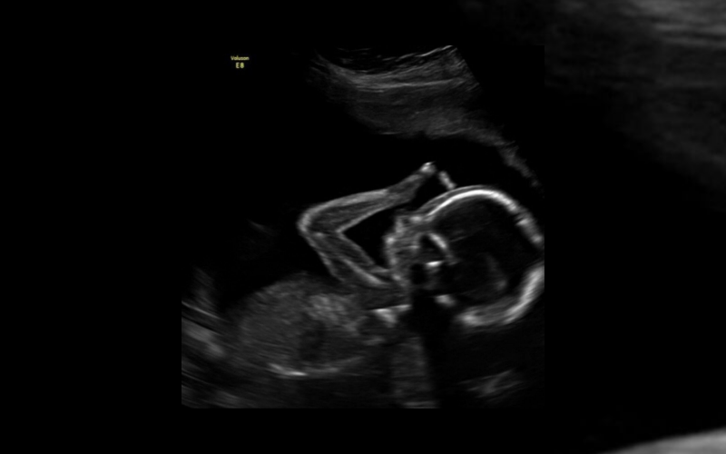
Quando a família Jetty foi fazer a ultrassonografia para revisar a saúde de seu bebê, depararam-se com uma grande surepresa. Logo que puderam compartilharam a foto do exame médico em sua conta no Instagram.
Aqui está a foto da ultrassonografia!
“Interrompemos nosso feed de santos para compartilhar esta bela imagem da vida. Nossa doce menina, com 19 semanas no útero, já está fazendo o sinal da cruz 😉✝️💕🎀 A vida é tão preciosa!
A bebê apareceu com os dedos na frente da testa, com uma postura parecida de quando começamos a fazer o sinal da cruz.
Pode ser uma coincidência, mas com certeza é algo emocionante.
